동반된 안질환 없으면 수술로 간단히 제거
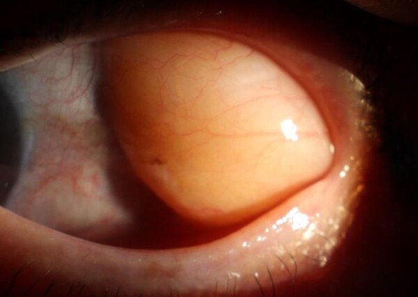
![눈의 노화로 결막이 약해지면 지방이 앞으로 밀려나오는 '안와지방탈출'이 생길 수 있다. [사진 김안과병원]](https://cdn.jhealthmedia.joins.com/news/photo/202510/31190_32893_5758.jpg)
나이가 들면 근육, 장기 기능 등 몸 곳곳이 약해진다. 안구를 감싸고 있는 결막도 그중 하나다. 결막이 약해지면 지방이 앞으로 밀려 나와 노란 혹처럼 보이는 ‘안와지방탈출’이 생길 수 있다. 눈꺼풀을 들지 않으면 보이지 않을 정도로 작은 크기부터 눈을 감을 때 윗눈꺼풀과 아랫눈꺼풀 사이에 끼일 정도로 큰 경우까지 다양한 크기로 나타난다.
안와지방탈출은 거울을 보거나 주변 사람에 의해 비교적 쉽게 발견된다. 눈 흰자 양쪽에 노란색의 물렁한 혹이 보인다면 의심할 수 있다. 정확한 진단은 세극등현미경 검사나 촉진을 통해 한다.
눈꺼풀이 움직일 때 불편함 등 특별한 증상이 없으면 시력에 큰 영향을 주지 않는다. 이때는 윤활 작용을 돕는 인공눈물을 점안하며 경과를 관찰하는 것이 좋다. 다만 유사한 형태로 나타나는 다른 안질환이 원인일 수 있으므로 지방의 형태 변화가 관찰되면 안과에서 진료받아야 한다.
시력에 문제가 없더라고 환자가 원할 경우 제거를 고려할 수 있다. 수술은 마취 후 결막을 절개해 탈출한 지방을 제거한 후 봉합하는 방식으로 비교적 간단하다. 수술 후 결막 절개 부위에 일시적으로 충혈이나 이물감이 발생할 수 있으나 얇은 녹는 실로 봉합하기 때문에 대부분 시간이 지나면서 호전된다. 이때 적절한 안약을 사용하면 증상 완화에 도움 된다.
수술 방법은 지방의 크기와 위치, 환자의 결막 상태에 따라 달라질 수 있다. 수술 전 안과 전문의와 상담 후 개인별 눈 상태에 맞는 수술법을 선택하는 것이 중요하다.
안와지방탈출의 주된 원인은 노화로 재발 우려가 비교적 큰 편이다. 눈에 특별한 증상이 나타나지 않아도 불편함이 생기면 안과에서 검진받는 것이 좋다. 김안과병원 성형안과센터 배경화 전문의는 “안와지방탈출은 지방을 싸고 있는 막이 약해지며 지방이 돌출되는 증상”이라며 “불편함이 지속되거나 심미적으로 개선을 원한다면 수술로 간단하게 제거할 수 있다”고 설명했다. 이어 “수술 후 추가로 나타날 수 있는 증상을 최소화하기 위해 경험이 풍부한 의사와 상담 후 치료 방향을 결정하는 것을 권고한다”고 말했다.
